Hợp tác quảng cáo

Tác hại nghiêm trọng của việc chải răng theo chiều ngang

2:30 PM | 10/02/2026 -
Khỏe +

Chải răng là thói quen vệ sinh răng miệng hàng ngày tưởng chừng rất đơn giản, nhưng chỉ cần làm sai cách trong thời gian dài cũng có thể gây ra nhiều hậu quả nghiêm trọng cho răng và nướu. Trong đó, chải răng theo chiều ngang – tức đưa bàn chải qua lại mạnh trên bề mặt răng – là lỗi phổ biến mà rất nhiều người đang mắc phải.

Theo các bác sĩ nha khoa, chải răng ngang không những không làm sạch răng hiệu quả mà còn âm thầm phá hủy men răng, gây tụt lợi và ê buốt kéo dài. Dưới đây là những tác hại nghiêm trọng bạn không nên xem nhẹ.

Đánh răng theo chiều ngang có giúp răng sạch hơn không?

Tac hai nghiem trong cua viec chai rang theo chieu ngang
Thói quen chải răng ngang thường hình thành từ nhỏ do bắt chước người lớn hoặc do quan niệm sai lầm rằng chải mạnh, chải ngang sẽ làm răng “sạch nhanh hơn”.

Đánh răng có vẻ đơn giản, nhưng cách bạn đánh răng ảnh hưởng trực tiếp đến sức khỏe răng miệng của bạn. Nhiều người có thói quen chải răng theo chuyển động ngang qua lại, tin rằng cách này sẽ làm sạch triệt để bề mặt răng. Tuy nhiên, các nha sĩ cho biết phương pháp chải răng này thực tế có thể dẫn đến một loạt các vấn đề về răng miệng.

Bề mặt răng cứng nhưng không hoàn toàn nhẵn, đặc biệt là ở chỗ tiếp giáp giữa răng và nướu, nơi mảng bám và thức ăn thừa dễ tích tụ. Nếu bạn luôn chải răng theo chiều ngang, bạn sẽ không chỉ không làm sạch triệt để các kẽ răng mà còn có thể làm tổn thương nướu .

Theo nghiên cứu về y học răng miệng, chải răng quá mạnh có thể dẫn đến các vấn đề như tụt nướu và mòn men răng, thậm chí có thể gây ê buốt răng và bệnh nha chu.

Các vấn đề về răng miệng có thể phát sinh khi thường xuyên chải răng theo chiều ngang 

Nếu bạn tiếp tục sử dụng phương pháp chải răng ngang, sau vài tháng bạn có thể gặp phải các vấn đề về răng miệng sau đây:

Tụt nướu

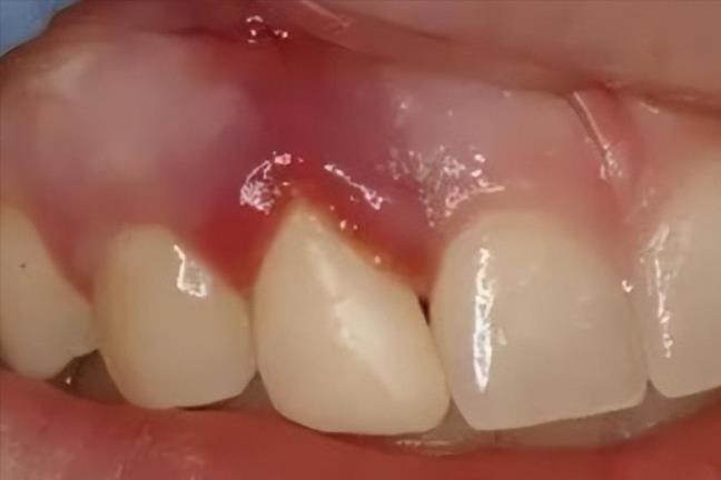
Một trong những rủi ro lớn nhất khi chải răng theo chiều ngang là tụt nướu. Khi chải răng theo chiều ngang trong thời gian dài, lông bàn chải liên tục cọ xát vào nướu, gây tổn thương mô nướu và dần dần dẫn đến tụt nướu. Tụt nướu không chỉ ảnh hưởng đến thẩm mỹ mà còn dễ làm lộ chân răng, làm tăng nguy cơ răng nhạy cảm.

Mòn men răng

Men răng là lớp bảo vệ cứng nhất trên bề mặt răng, nhưng nếu chải răng không đúng cách trong thời gian dài, đặc biệt là chải ngang với lực mạnh, ma sát của lông bàn chải sẽ dần dần làm mòn men răng.

Điều này không chỉ làm cho răng dễ gãy mà còn có thể gây ra các vấn đề về răng nhạy cảm, chẳng hạn như đau khi tiếp xúc với nhiệt độ nóng hoặc lạnh.

Ê răng

Do tác động kết hợp của tụt nướu và mòn men răng, hiện tượng ê buốt răng ngày càng trở nên rõ rệt. Bạn có thể cảm thấy khó chịu và đau đớn đáng kể khi ăn các loại thực phẩm lạnh, nóng, chua hoặc ngọt, điều này có thể ảnh hưởng nghiêm trọng đến chất lượng cuộc sống hàng ngày của bạn.

Tình trạng nha chu trở nên trầm trọng hơn

Tac hai nghiem trong cua viec chai rang theo chieu ngang

Kỹ thuật chải răng không đúng cách trong thời gian dài cũng có thể dẫn đến các vấn đề như viêm nướu và viêm nha chu. Khi nướu bị ma sát quá mức, chúng dễ bị viêm, điều này có thể dẫn đến răng lung lay và mất răng.

Bốn bước chải răng đúng cách để có sức khỏe răng miệng tốt hơn

Vậy làm thế nào để tránh những vấn đề này và duy trì hàm răng khỏe mạnh? Các bác sĩ khuyên nên thực hiện bốn bước sau để điều chỉnh thói quen đánh răng:

Sử dụng kỹ thuật đánh răng đúng cách

Khi sử dụng bàn chải đánh răng, bạn nên sử dụng "kỹ thuật đánh răng Bass", nghĩa là giữ bàn chải ở góc 45 độ so với bề mặt răng và chải nhẹ nhàng, thay vì chải qua lại theo chiều ngang với lực mạnh. Phương pháp này giúp làm sạch vùng tiếp giáp giữa răng và nướu, giảm thiểu tổn thương cho nướu.

Hãy chải răng nhẹ nhàng, tránh dùng lực quá mạnh

Bạn không cần chải răng quá mạnh; lực quá mạnh có thể làm tổn thương răng và nướu. Chải răng nhẹ nhàng không chỉ làm sạch răng hiệu quả mà còn tránh gây hại không cần thiết cho răng.

Thay bàn chải đánh răng thường xuyên

Lông bàn chải đánh răng sẽ bị mòn theo thời gian, làm giảm hiệu quả làm sạch. Các bác sĩ khuyên nên thay bàn chải đánh răng ba tháng một lần để duy trì độ đàn hồi và khả năng làm sạch của lông bàn chải. Ngoài ra, việc lựa chọn độ cứng lông bàn chải phù hợp cũng rất quan trọng; nhìn chung, nên chọn bàn chải đánh răng có lông mềm.

Kết hợp chỉ nha khoa và nước súc miệng

Đánh răng không phải là tất cả những gì cần thiết để vệ sinh răng miệng. Chỉ nha khoa và nước súc miệng có thể làm sạch hiệu quả các mảng bám giữa kẽ răng, ngăn ngừa sự hình thành mảng bám và giữ cho miệng luôn sạch sẽ.

Đa số ý kiến ​​chuyên môn cho rằng kỹ thuật đánh răng đúng cách là yếu tố cơ bản để duy trì sức khỏe răng miệng. Bạn nên tránh chải răng theo chiều ngang, kết hợp với chỉ nha khoa và nước súc miệng để đảm bảo vệ sinh răng miệng và sức khỏe nướu.

Phong Vũ

Theo Người đưa tin

Tin cùng chuyên đề

TIN KHÁC

Thuốc và sức khỏe

Dinh dưỡng

Làm đẹp